Get a FREE initial Invisalign Consultation with Duxton Dental
Start your smile journey today with a FREE Invisalign consultation at Duxton Dental – your trusted provider for Invisalign in Christchurch. Our experienced team specialises in clear aligner orthodontic treatment that is comfortable, effective, and virtually invisible.
Free Invisalign Consultations at Our Christchurch Dental Clinic
Thinking about straighter teeth? Schedule your no-obligation Invisalign consultation today. Our friendly Christchurch dentists will assess your smile, answer your questions, and show you how Invisalign aligners can transform your confidence.
Invisalign

Platinum Elite Invisalign Providers in Christchurch
Duxton Dental is proud to be a Platinum Elite Invisalign Provider – a recognition awarded to dental clinics with extensive experience in Invisalign treatment. Located in Riccarton, Christchurch, our expert team combines precision digital planning with personalised patient care to deliver exceptional results using the world’s leading clear aligner system.
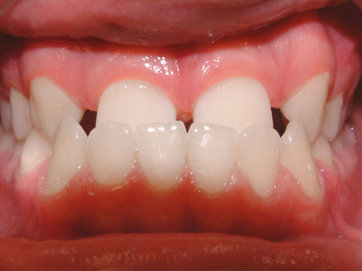
Why Choose Invisalign Aligners?
Achieve Beautiful, Straight Teeth
Using precise digital planning and a series of customised dental aligners, Invisalign provides a faster, more predictable solution for straightening teeth compared to traditional braces.
Discreet and Nearly Invisible
Invisalign aligners are clear and discreet, making them the perfect option for adults, teens, and professionals who want effective orthodontic treatment without the look of traditional braces.
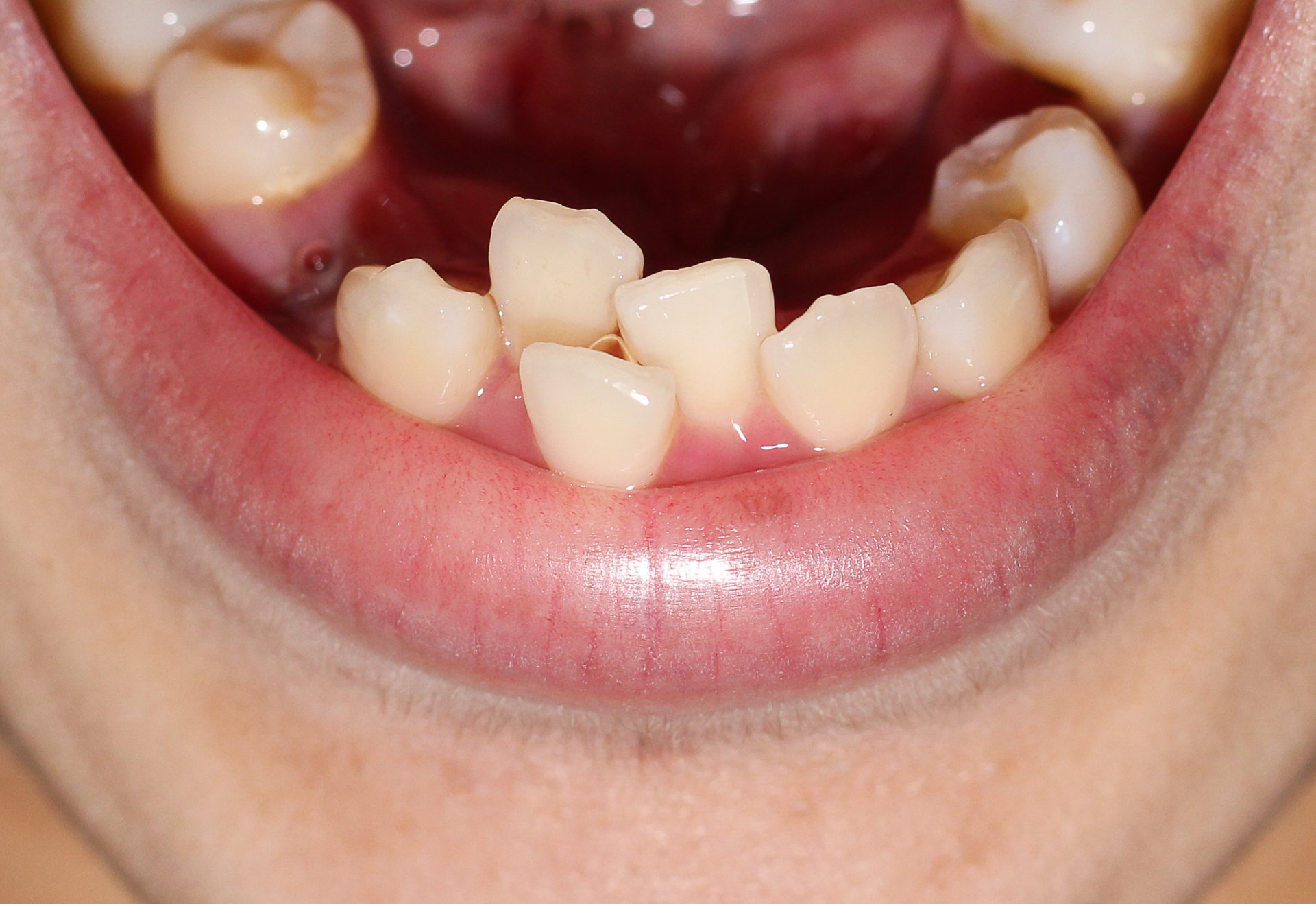
How Invisalign works
The Invisalign process at Duxton Dental involves wearing a series of clear, custom-made aligners. Each aligner gently shifts your teeth into place according to a precise, computer-generated treatment plan. Invisalign is the comfortable, discreet alternative to traditional braces, helping you achieve your dream smile with minimal disruption to your daily life.
Health Benefits of Invisalign
Support Healthier Gums
Well-aligned teeth make it easier for gums to securely surround them, reducing inflammation and lowering the risk of gum disease. Invisalign promotes better gum health by eliminating hard-to-clean overlaps and gaps.
Improve Daily Oral Hygiene
Removable aligners mean no obstacles when brushing and flossing—helping you maintain cleaner teeth and fresher breath throughout your treatment. This reduces your risk of tooth decay and plaque build-up.
May Enhance Speech
Misaligned teeth can sometimes affect speech clarity. Invisalign aligners help address bite and alignment issues that may be contributing to minor speech challenges, allowing for clearer and more confident communication.
Hear What Our Invisalign Patients Say
Don't just take it from us, take it from some of our previous Invisalign patients!
Lauchlan Hill
“Lovely staff, teeth look amazing so happy with the outcome."
Susan Kinley
“Absolutely happy with the end result, was unsure as a 50 something whether to do anything and so pleased I did"
Scarlett Kirby
“The treatment was really good, it has taken a while, but definitely worth it, I am really happy with my teeth.”
Lily Williams
“Yes all good, everyone was very friendly nice helpful and competent and invisalign went a lot easier than I thought it would and I recommend it to my friends."
Liam Kerr
“Staff very nice and welcoming, very happy with how the teeth look would recommend to come here, less of an ordeal than I thought it would be"
Harry Pierce
“Treatment went really well, not traumatic at all and easy system to use, very pleased with the outcome, everyone nice and friendly.”
Taylor Toms
“Everyone has been really good, really supportive and nice, overall very good experience and has changed my whole smile"
Natalya Flood
“The Invisalign treatment worked really well, really firendly and easy system to use, I think it was a better alternative than braces"
Kathleen Harvey
“Very professional and very welcoming and friendly, my teeth look great”
Preview Your Future Smile with Invisalign SmileView
Want to see what Invisalign can do before you commit? Our Invisalign SmileView simulator provides a sneak peek at your future smile—instantly!
Invisalign Treatment Options for All Ages
Invisalign for Kids
Invisalign First helps growing children address crowding, spacing, and jaw development early on. It sets the foundation for straighter teeth and can reduce the need for extensive orthodontics later in life.
Invisalign for Teens
Ideal for image-conscious teens, these nearly invisible aligners allow for freedom in eating, brushing, and sports—without the self-consciousness of traditional metal braces. Optional wear indicators help keep treatment on track.
Invisalign for Adults
Whether you're working, parenting, or socialising, Invisalign fits seamlessly into your lifestyle. With predictable results and minimal disruption, it's the preferred solution for adults looking to straighten their teeth discreetly and effectively.
Be Clear on the Facts: Only Invisalign is Invisalign
When considering clear aligners, it’s important to choose genuine Invisalign. Only Invisalign aligners come with the research, quality, and predictable results you can trust. If it doesn’t say Invisalign, it’s not Invisalign.

Track Your Invisalign Treatment with Dental Monitoring
Manage your Invisalign journey anywhere, anytime! Our Dental Monitoring app allows you to send progress photos remotely using your smartphone, making orthodontic care even more convenient for your lifestyle.




